Yöntem ve Röntgen Görüntülerimiz

BAŞARILI SONUÇLARIMIZ

Boy uzatma ameliyatlarımızda kullandığımız modern yöntemlerin röntgen görüntüleri ve başarılı sonuçlarımızı inceleyebilirsiniz.

Lon Yöntemi

Lon Yöntemi

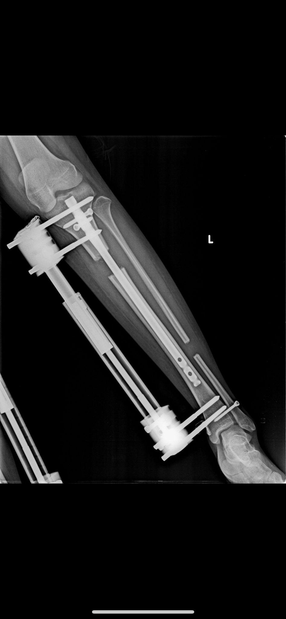
LON Yöntemi (Lengthening Over Nail) ile Femur ve Tibia Uzatma – Tıbbi Açıklama
Fitbone Yöntemi

Fitbone Yöntemi

Fitbone® Yöntemi ile Boy Uzatma Tamamen İçten (Internal) Motorize Uzuv Uzatma Teknolojisi
Precice Yöntem

Precice Yöntem

Precice 2 Boy Uzatma Yöntemi: Modern, Güvenli ve Konforlu Boy Uzatma Teknolojisi

 

 

 

Geri arama isteğinde bulunun

Hiç kendinizi bilgisayar ekranınıza bakarken buldunuz mu? Aklınıza sık sık iyi bir danışmanlık sloganı geliyor mu?

Geri arama isteğinde bulunun Geri arama isteğinde bulunun